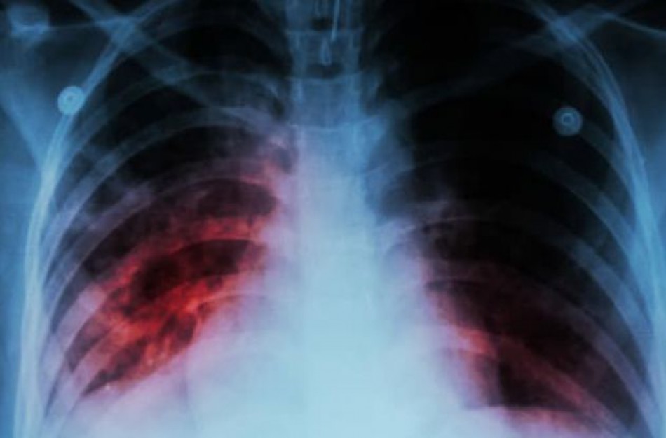
Užkrečiamųjų ligų ir AIDS centro (ULAC) duomenimis 2020 m. Lietuvoje tuberkulino mėginiai padėjo išaiškinti 8 tuberkulioze (TB) susirgusius vaikus. 2019 m. tuberkuliozė diagnozuota 48 vaikams, iš kurių dviem nustatyta itin pavojinga atviros tuberkuliozės forma. Užpernai tokia forma buvo diagnozuota trims vaikams.
2020 m. privalomas tuberkulino mėginys (TM) buvo atliktas 54,1 proc. vaikų, ir tai mažiau nei užpernai (66,9 proc. vaikų).
Kaip ir kiekvienais metais daugiausia tuberkuliozės atvejų diagnozuota vaikams, kurie bendravo su tuberkulioze sergančiaisiais artimoje aplinkoje. 2020 m. tokių nustatyta 5 atvejai. Du atvira tuberkuliozės forma sergantys vaikai kaip tik ir buvo užsikrėtę bendraudami su sergančiaisiais artimoje aplinkoje.
Dar du TB atvejai diagnozuoti viršutinių kvėpavimo takų ligomis dažnai sirgusiems vaikams, vienas vaikas priklausė socialinės rizikos šeimai.
Užkrečiamųjų ligų ir AIDS centro medikai pažymi, kad teigiama tuberkulino reakcija dažniausiai nustatoma tuomet, kai vaikas būna užsikrėtęs tuberkuliozės mikobakterijomis, tačiau tuberkuliozei būdingų požymių jis neturi. Toks vaikas neplatina tuberkuliozės bakterijų ir aplinkiniams yra nepavojingas. Ši būklė kitaip dar vadinama latentine tuberkuliozės infekcija (LTBI).
Medikai atkreipia dėmesį, kad asmenims, kuriems nustatyta LTBI, rizika per visą gyvenimą susirgti tuberkulioze siekia 5–10 proc. (iš jų pusė atvejų galimi per pirmuosius dvejus metus).
ULAC medikai primena, kad TB infekcijos šaltinis yra atvira plaučių TB sergantys ligoniai, pastarieji kosėdami, čiaudėdami ir skrepliuodami į aplinką išskiria gausų kiekį ligos sukėlėjų – tuberkuliozės mikobakterijų. Ši liga ypač grėsminga naujagimiams, kūdikiams ir vaikams iki 5 metų.
Pasaulio sveikatos organizacija rekomenduoja šalims, kuriose registruojamas didelis sergamumas TB, skiepyti vaikus BCG (Bacillus Calmette – Guerin) vakcina kaip galima greičiau po gimimo. Šie skiepai apsaugo mažamečius vaikus ir nuo kitų labai sunkių ligų (pvz., tuberkuliozinio meningito). Pagal Lietuvos Respublikos vaikų profilaktinių skiepijimų kalendorių BCG vakcina skiepijami 2–3 parų naujagimiai. Lietuvoje pastaraisiais metais paskiepijama apie 97 proc. visų naujagimių.
Ankstyvas ligos išaiškinimas ir gydymas yra pagrindinės priemonės, galinčios ne tik išgelbėti gyvybę, bet ir užkirsti kelią infekcijos plitimui visuomenėje.
Siekiant sumažinti užsikrėtimo TB mikobakterijomis riziką, ULAC medikai rekomenduoja:
- vengti artimo sąlyčio su sergančiuoju TB;
- sergančiajam TB laikytis kosėjimo ir čiaudėjimo etiketo – kosint ar čiaudint prisidengti nosį ir burną vienkartinėmis servetėlėmis, o panaudotas servetėles išmesti į šiukšliadėžę;
- dažnai vėdinti ir valyti patalpas;
- kuo dažniau plauti rankas.
ULAC inf.














.jpg)

