Nacionalinio visuomenės sveikatos centro prie Sveikatos apsaugos ministerijos (NVSC) Kauno departamento specialistai informuoja, kad kiekvienais metais Kovo 24-ąją minime Pasaulinę tuberkuliozės dieną. Šią dieną 1882 m. vokiečių mokslininkas dr. Robertas Kochas Berlyno fiziologų draugijos posėdyje paskelbė atradęs bakteriją, kuri sukelia tuberkuliozę ir, kad tuberkuliozė yra infekcinė liga, šis atradimas atvėrė kelią tuberkuliozės diagnostikai ir gydymui. Praėjus daugiau nei šimtui metų nuo šios ligos sukėlėjo atradimo tuberkuliozė išlieka viena labiausiai paplitusių infekcinių ligų.
2021-ųjų Pasaulinės tuberkuliozės dienos tema – „Laikrodis tiksi“ – suprantama, kad pasauliui kovojant su COVID-19 ligos (koronaviruso infekcijos) pandemija trūksta laiko įgyvendinti pasaulio lyderių priimtus įsipareigojimus, susijusius su tuberkuliozės sergamumo mažinimu visame pasaulyje.
Pasaulio sveikatos organizacija (PSO) informuoja, kad pasaulyje kiekvieną dieną netenkama beveik 4000 gyvybių ir beveik 28 000 suserga šia išvengiama ir išgydoma liga. Naujausiais Europos ligų prevencijos ir kontrolės centro duomenimis, 2019 m. Europos Sąjungos, Europos ekonominės erdvės (ES/EEE) šalyse standartizuotas sergamumo tuberkulioze rodiklis siekė 9,69 atv. 100 tūkst. gyventojų. Lietuvoje šis rodiklis daugiau kaip tris kartus aukštesnis ir atitinkamai siekia 36,63 atv./100 tūkst. Aukštesnis nei Lietuvoje šis rodiklis registruotas tik Rumunijoje, kur jo atitinkama reikšmė siekia 59,03 atvejo.
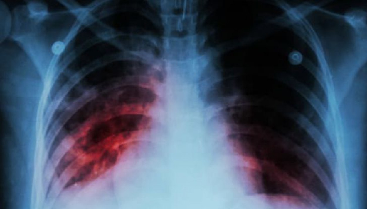
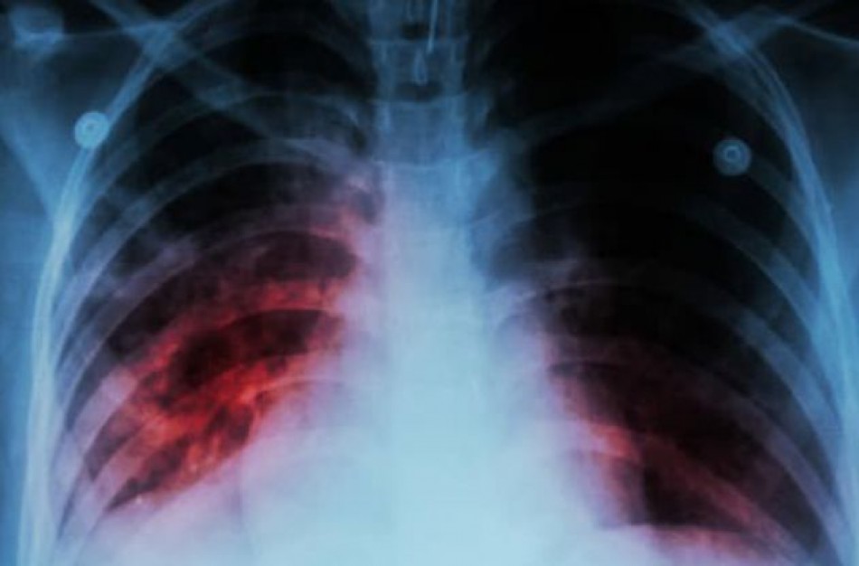
NVSC Kauno departamento specialistai primena, kad pagrindinis tuberkuliozės užsikrėtimo šaltinis yra žmogus, kuris serga atvira plaučių tuberkuliozės forma. Tuberkuliozės bakterijos patenka į orą, kai plaučių tuberkulioze sergantis žmogus kalba, kosėja ar čiaudi. Bakterijos ore gali išlikti kelias valandas, priklausomai nuo aplinkos sąlygų. Žmogus, įkvėpęs bakterijomis užteršto oro, gali užsikrėsti. Užsikrėtę asmenys savo organizme turi tuberkuliozės bakterijų, bet daugumai jos nėra aktyvios ir nesukelia ligos, nepasireiškia tuberkuliozei būdingi požymiai ir žmogus neplatina ligos sukėlėjo. Nustatyta, kad tik dalis užsikrėtusių asmenų (5-10 proc.) gali susirgti arba suserga tuberkulioze.
Tuberkuliozės simptomai pasireiškia, kai tuberkuliozės bakterijos žmogaus organizme tampa aktyvios, t. y. pradeda daugintis.
Pagrindiniai tuberkuliozės simptomai, kuriuos pajutus reikėtų kreiptis į savo šeimos gydytoją:
⦁ kosulys, trunkantis 3 ar daugiau savaičių;
⦁ kosėjimas su skrepliais ar su krauju.
⦁ bendras organizmo silpnumas ar nuovargis;
⦁ svorio kitimas, apetito stoka
⦁ šaltkrėtis, karščiavimas
⦁ prakaitavimas naktį;
⦁ skausmas krūtinėje
NVSC inf.















.jpg)
