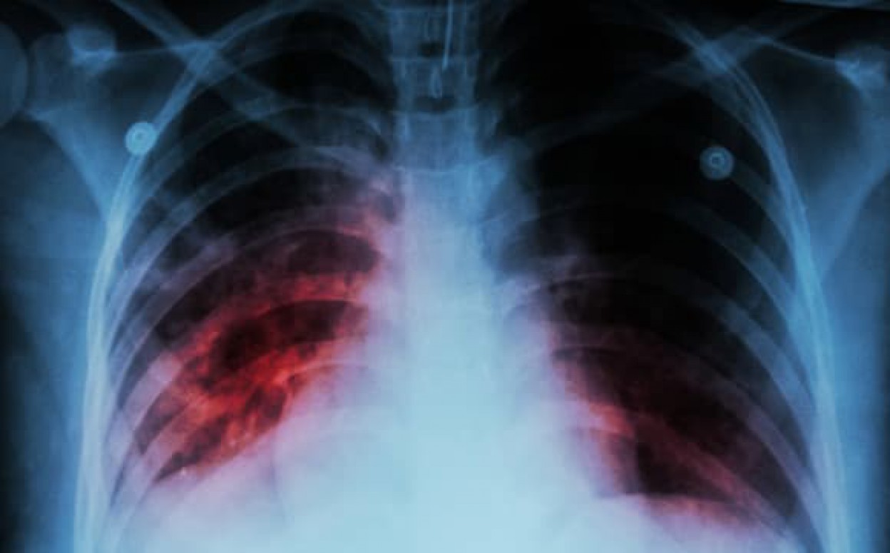
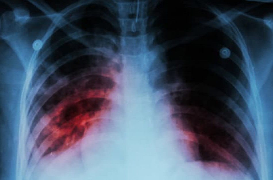
Nacionalinio visuomenės sveikatos centro Jonavos skyriaus specialistai informuoja, kad šiais metais Jonavoje užregistruota 20 naujai susirgusių atvira plaučių tuberkulioze atvejų. Visi susirgusieji yra suaugę asmenys, iš kurių 14 vyrų ir 6 moterys, gyvenantys kaime (10) ir mieste (10).
Pirmieji požymiai, kurie leidžia įtarti ligą, yra kosulys, silpnumas, prakaitavimas nakties metu, nesmarkus karščiavimas, kartais skausmas krūtinėje ar padidėję limfmazgiai. Jeigu kosulys nepraeina daugiau kaip per tris savaites, būtina pasikonsultuoti su gydytoju. Pasitikrinti ypač svarbu tiems, kurių šeimos nariai serga arba anksčiau sirgo tuberkulioze ar kurie turėjo sąlytį su sergančiu tuberkulioze asmeniu. Rizika užsikrėsti padidėja, jei bendraujama ilgai ir intensyviai su sergančiuoju atvira plaučių tuberkulioze, ypač prastai vėdinamose patalpose.
Tuberkuliozės infekcija ypač grėsminga naujagimiams ir kūdikiams bei vaikams iki 5 metų dėl pilnai nesusiformavusio imuniteto. Lietuvoje nuo tuberkuliozės skiepijami naujagimiai 2-3 dieną po gimimo. Skiepijant kūdikius kuo jaunesniame amžiuje juos galima apsaugoti nuo susirgimų itin sunkiomis tuberkuliozės formomis, tačiau skiepijimai tuberkuliozės vakcina neturi esminės įtakos sustabdant tuberkuliozės plitimą gyventojų tarpe.
Tuberkuliozės infekcija ypač grėsminga naujagimiams ir kūdikiams bei vaikams iki 5 metų dėl pilnai nesusiformavusio imuniteto.
Siekiant užtikrinti efektyvią tuberkuliozės profilaktiką ir kontrolę, mažinti tuberkuliozės plitimą, bei kuo anksčiau išaiškinti užsikrėtusių vaikų skaičių ir pradėti gydymą, Lietuvoje valstybės lėšomis atliekamas tuberkulino mėginys 7 metų amžiaus vaikams ir vaikams, priklausantiems rizikos grupėms.
Ankstyvas ligos išaiškinimas ir gydymas yra pagrindinės priemonės, galinčios ne tik išgelbėti gyvybę, bet taip pat – užkirsti kelią infekcijos plitimui visuomenėje.
Kauno departamento Jonavos skyriaus vedėja Jurgita Arbočienė


















.jpg)