Nacionalinio visuomenės sveikatos centro prie SAM Kauno departamentas atkreipia dėmesį, kad Lietuvoje sergamumas plaučių tuberkulioze yra vienas didžiausių Europoje. Siekiant užtikrinti efektyvią tuberkuliozės profilaktiką specialistai primena, kad kreipiantis pas savo šeimos gydytoją nemokamai galima atlikti tuberkulino odos testą (Mantoux testas) visiems vaikams, kuriems yra 7 metai bei vaikams priklausantiems tuberkuliozės rizikos grupėms.
Kas gali nemokamai pasitikrinti?
Pagal galiojančius teisės aktus kasmet kreipiantis pas savo šeimos gydytoją nemokamai galima atlikti tuberkulino odos testą (Mantoux) visiems vaikams, kuriems yra 7 metai bei šioms rizikos grupėms priklausantiems vaikams:
- neskiepytiems nuo tuberkuliozės vaikams, iki jiems sueis 7 m. (Tai vaikai, kurių dokumentuose nėra įrašų apie atliktą BCG skiepą, ir/ar kurie neturi BCG randelio);
- bendraujantiems su sergančiais tuberkulioze (šeimoje, kolektyve) (Pagal iš NVSC gautą informaciją apie būtinybę atlikti tuberkulino mėginį arba kitą turimą informaciją apie paciento bendravimą su sergančiaisiais atvira / aktyvia plaučių tuberkuliozės forma);
- dažnai sergantiems viršutinių kvėpavimo takų ligomis (iki 2-3 metų - 6 susirgimai ir daugiau; 4 matų – 5 susirgimai ir daugiau; 5-6 metų – 4 susirgimai ir daugiau; 7 metų ir vyresniems – 3 susirgimai ir daugiau);
- sergantiems lėtinėmis ligomis (plaučių, inkstų ligomis, cukriniu diabetu);
- gydomiems kortikosteroidais (ilgalaikis gydymas per burną);
- infekuotiems žmogaus imunodeficito virusu arba esant kitoms imunodeficitinėms būklėms;
- socialinę riziką patiriančių šeimų vaikams
- gyvenantiems sutrikusio vystymosi kūdikių namuose, vaikų globos namuose, internatuose, pensionatuose;
- migrantams (atvykusiems nuolat ar laikinai gyventi į Lietuvą iš TB endeminių šalių: kuriose sergamumas TB daugiau nei 100 atvejų 100 000 gyventojų / metus
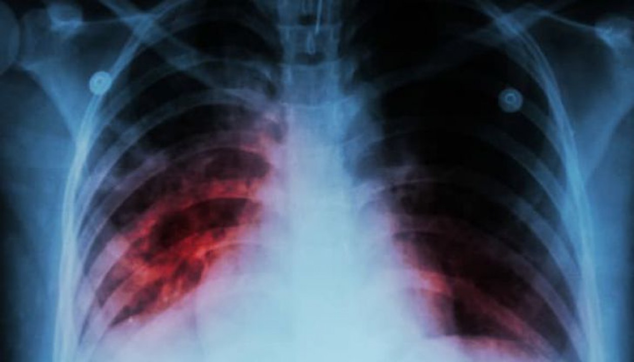
Tuberkuliozę sukelia bakterijos. Dažniausiai šios bakterijos atakuoja plaučius, tačiau taip pat gali paveikti inkstus, stuburą ar net smegenis.
Teigiamas tuberkulino mėginys – tik įspėjimas apie galimą riziką
Mantoux testas tai įodinis tuberkulino mėginys, kuriuo siekiama išsiaiškinti, ar vaikas užsikrėtęs tuberkuliozės bakterija. Didžioji dauguma užsikrėtusių tuberkuliozės bakterija nesusirgs, bet išlieka rizika, kad liga gali išsivystyti į aktyvią tuberkuliozės formą, taip pat šis testas padeda nustatyti jau sergančius tuberkulioze. Todėl nustačius teigiamą odos reakciją į tuberkulino mėginį, būtiną atlikti išsamų sveikatos ištyrimą. Teigiamas tuberkulino mėginys dar nereiškia, kad vaikas serga.
Mantoux testas 2018 metais atliktas 68 proc. vaikų. 7 metų vaikams šis testas atliekamas dažniau nei rizikos grupėms priklausantiems vaikams.
Mantoux testo vaikams atlikimas buvo suaktyvintas nuo 2013 metų. Pirmaisiais atlikimo metais buvo nustatyta 87 tuberkuliozes atvejai, iš kurių - 11 atviros tuberkuliozės atvejų, o 2018 metais gydytojai diagnozavo 29 tuberkuliozės atvejus ir 1 atviros tuberkuliozės atvejį.
Patogiausias laikas atlikti tuberkulino mėginį – kasmetinis vaiko sveikatos patikrinimas
Tuberkuliozė yra labai pavojinga infekcinė liga, nors daugelis sergančiųjų serga latentine šios ligos forma, tačiau apie 10 procentų visų sergančiųjų ši infekciją progresuoja į aktyvią tuberkuliozę, kuri negydoma gali pražudyti žmogų. Kvėpavimo organų tuberkuliozę sukelia bakterija, kuri plinta per orą. Pagrindinis šių bakterijų šaltinis yra žmogus sergantis atvira plaučių tuberkulioze. Didžiausią riziką užsikrėsti tuberkulioze, turi artimai ir ilgą laiką bendraujantys su atvira tuberkulioze sergančiais asmenimis asmenys.
Norėdami išvengti susirgimų tuberkulioze plitimo, turime pasirūpinti profilaktiškai patikrinti vaikus dėl tuberkuliozės. Vasarą dauguma tėvelių rūpinasi profilaktiškai patikrinti vaikų sveikatą, todėl tai yra tinkamiausias laikas tuberkulino mėginiui.
















.jpg)

